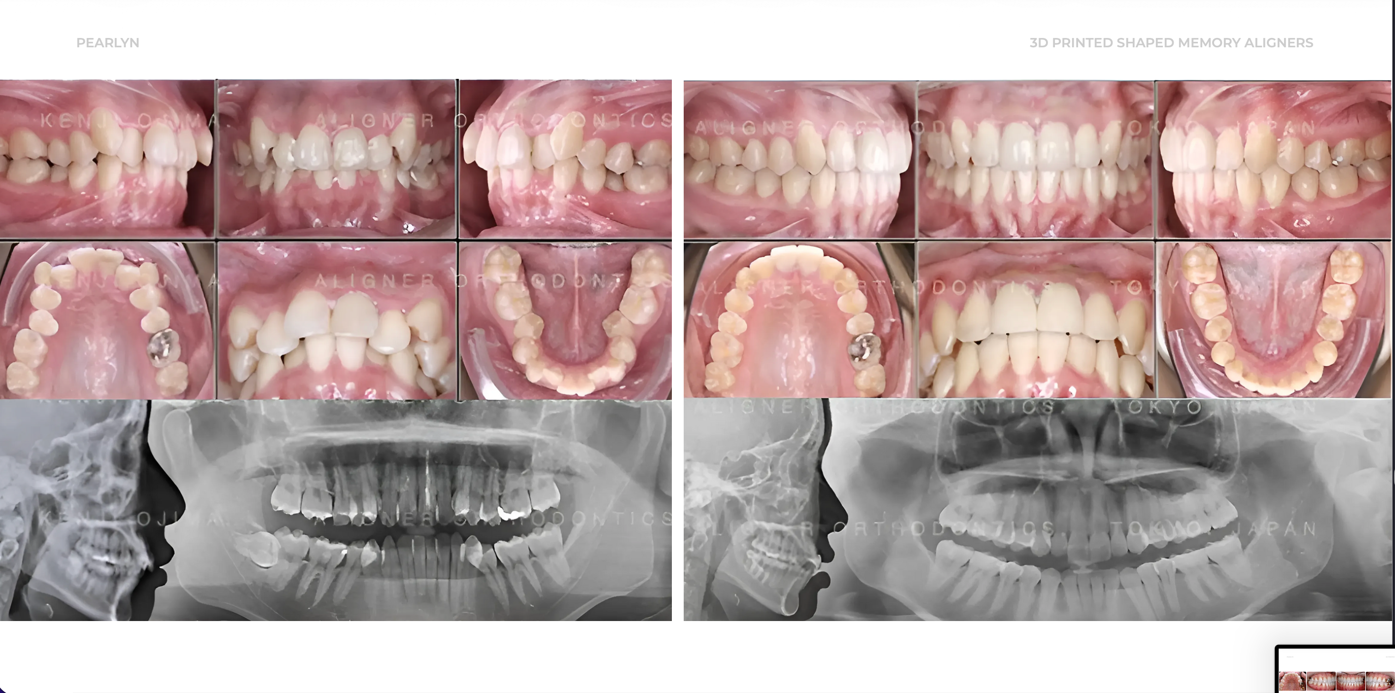
Pearlyn X Graphy

Official partner of Graphy the Global leader in 3D printing technology for shape memory aligners.

Download PDF

Why Shape Memory Aligners?

A type of clear aligner that uses a special material with shape memory properties, allowing it to "remember" its original shape return to it after being deformed when exposed to heat.

Self-adjusting force

Fewer aligners needed

Activated by temperature

Better comfort

Innovative materials

Get 15% off from PEARLYN & EASYORTHO

%5 Discount specially for easyortho orthodontists for any aligner case just mention EASYORTHO.

Plus 10% off for any invoice, A WIN WIN deal :)

For contact:

Easyortho: 01066353191

Pearlyn: 01011890946